



Tư vấn miễn phí cùng chuyên gia để nắm rõ hơn về tình trạng của bạn
| LOẠI MẮC CÀI | XUẤT XỨ | GIÁ GỐC | GIÁ SAU KM |
| MẮC CÀI KIM LOẠI | MỸ | CHỈ TỪ 20 TRIỆU | |
| MẮC CÀI SỨ | MỸ | CHỈ TỪ 30 TRIỆU | |
| KHAY TRONG SUỐT KLINE | ĐỨC | CHỈ TỪ 30 TRIỆU | |
| KHAY TRONG SUỐT INVISALIGN | MỸ | CHỈ TỪ 60 TRIỆU |
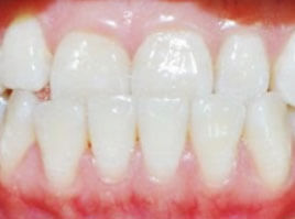
RĂNG HẾT HÔ - THƯA - MÓM - KHẤP KHỂNH




* Lưu ý: Tái khám định kỳ theo lịch hẹn của bác sĩ


Mắc cài 3M nhập khẩu chính hãng Hoa Kỳ

Công nghệ chuẩn đoán hình ảnh 3D
Biết trước kết quả, rút ngắn thời gian

Thăm khám và tư vấn miễn phí
Hội chẩn lên phác đồ điều trị
Nha khoa Hoa Phương được thành lập với mong muốn mang đến cho khách hàng hàm răng chắc khỏe, nụ cười tươi tắn, đầy tự tin. Nha khoa Hoa Phương không chỉ đầu tư về con người, đội ngũ bác sĩ kỹ thuật cao, giàu kinh nghiệm mà còn có trang bị công nghệ hiện đại, trang thiết bị tiên tiến nhất hiện nay.
Không chỉ đảm bảo sự an toàn tuyệt đối, tất cả khách hàng đến với Nha khoa Hoa Phương cam kết được đón tiếp, tư vấn chu đáo luôn xuất phát từ cái tâm trong nghề, để mang đến cho khách hàng những trải nghiệm tuyệt vời và sức khỏe răng miệng tốt nhất.

Chuyên gia hàng đầu về chỉnh nha
BÁC SỸ ĐẠI HỌC Y HÀ NỘI GIÀU KINH NGHIỆM
Trực tiếp thăm khám & nhổ răng







* Lưu ý: Tái khám định kỳ theo lịch hẹn của bác sĩ
THỜI GIAN KHUYẾN MẠI CHỈ CÒN
* Số lượng ưu đãi có hạn, hãy nhanh tay đăng ký
Mọi thông tin của bạn đều được bảo mật
Nha khoa Hoa Phương hỗ trợ khách hàng 24/7
Copyright © 2021 Nha khoa Hoa Phương